
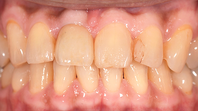
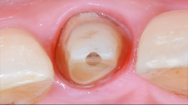
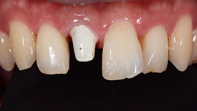
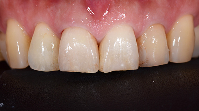
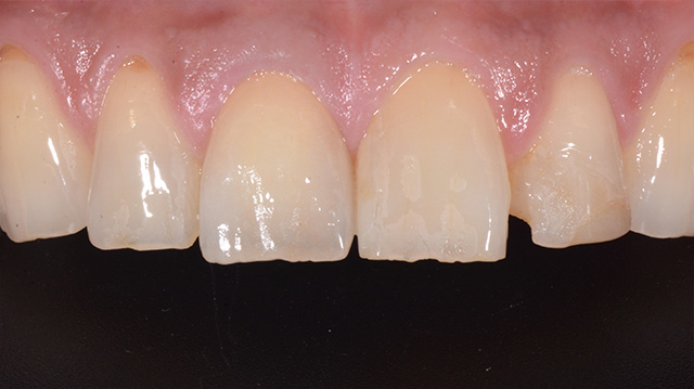
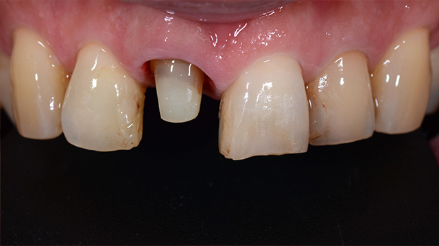
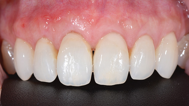
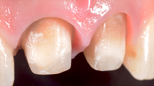
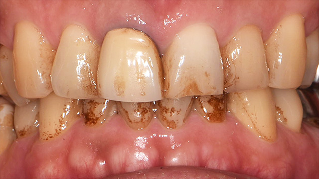
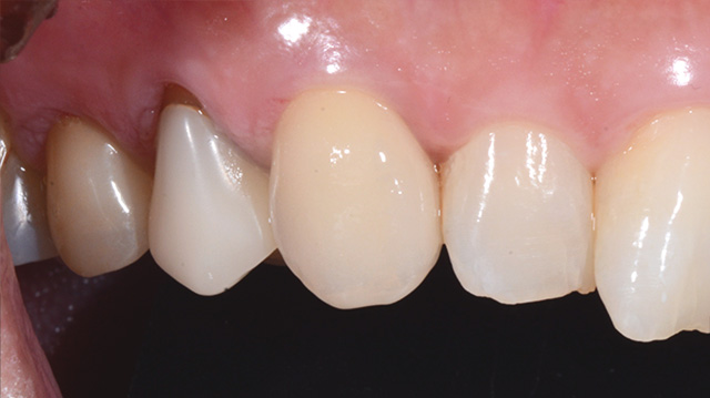
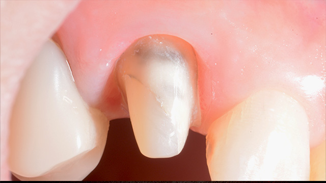
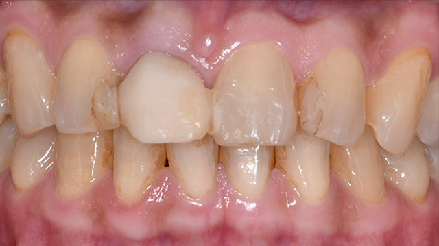
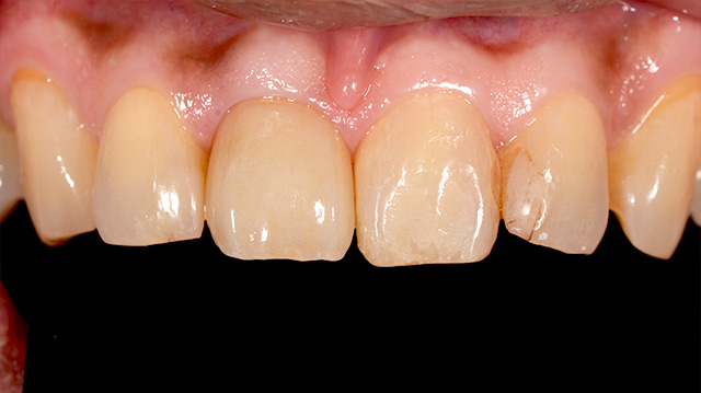
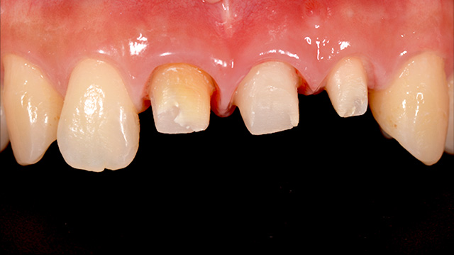
| 年代・性別 | 40代 男性 |
|---|---|
| 主訴 | 前歯の色が気になる |
| 治療回数 | 3回 |
| 治療期間 | 約1ヶ月 |
| 費用 | 仮歯 5,500円 ジルコニアクラウン 176,000円 |
*キャンセルポリシーをご一読のうえご予約ください
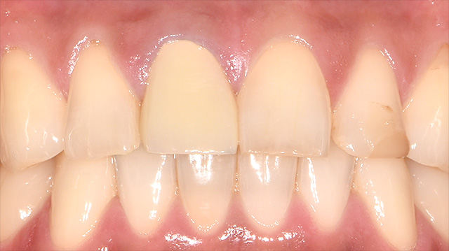
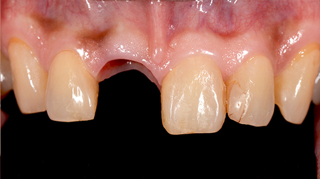
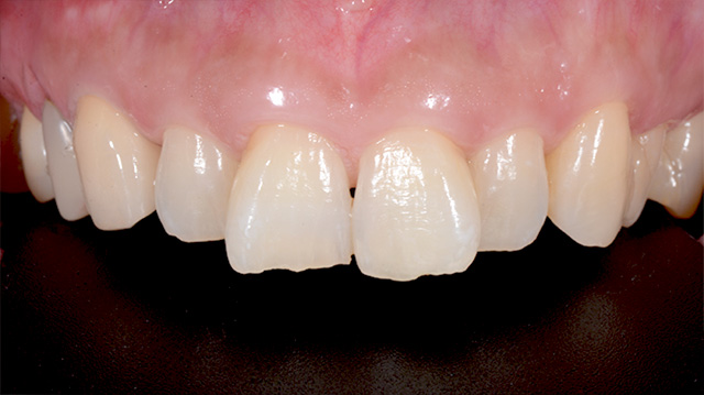
| 年代・性別 | 50代 男性 |
|---|---|
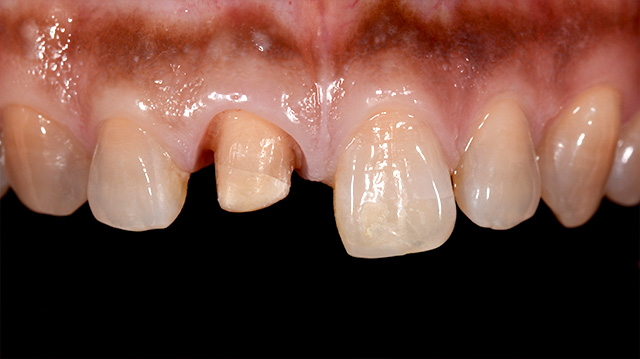
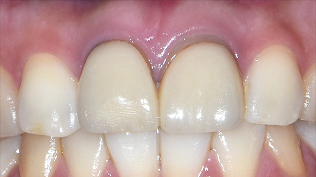
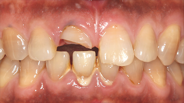
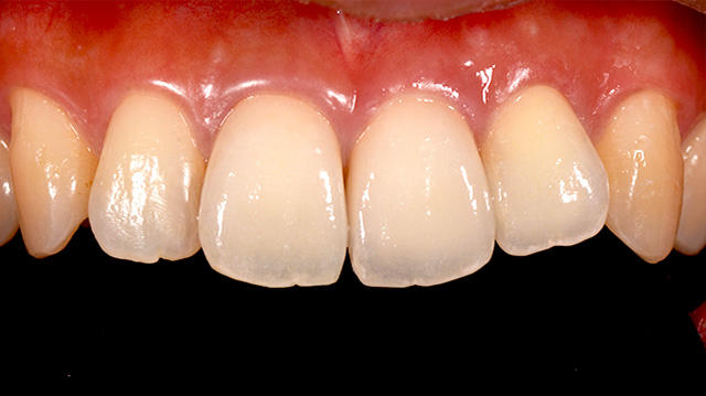
| 主訴 | 転倒して歯が割れた |
| 治療回数 | 3回 |
| 治療期間 | 約1ヶ月 |
| 費用 | 仮歯 5,500円 ジルコニアクラウン 176,000円 |
*キャンセルポリシーをご一読のうえご予約ください
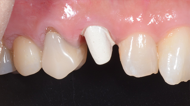
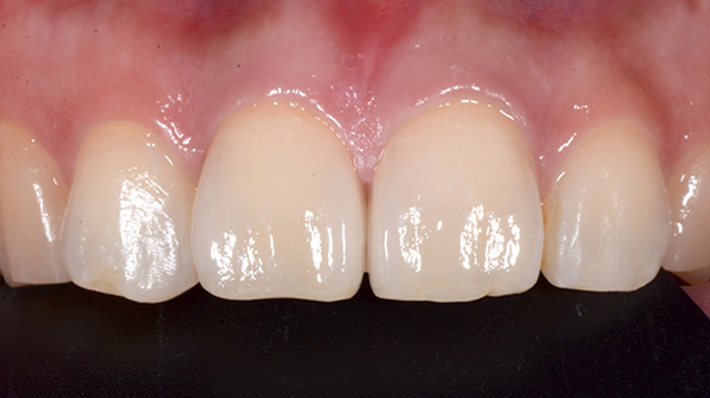
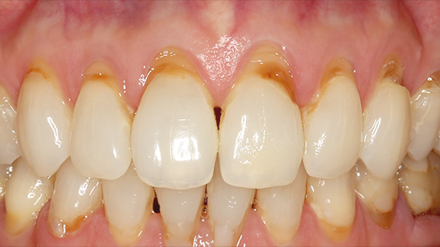
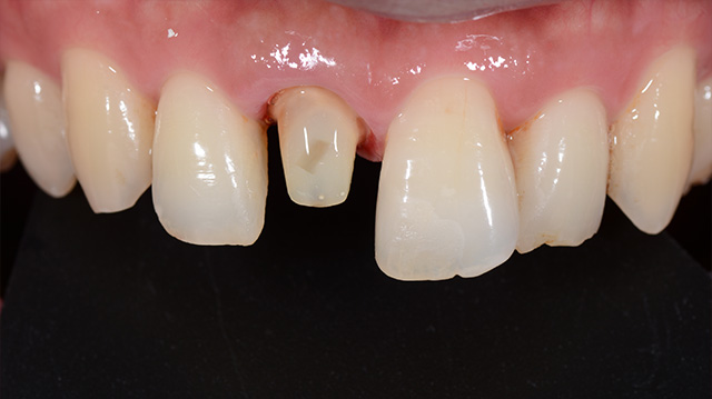
| 年代・性別 | 40代 男性 |
|---|---|
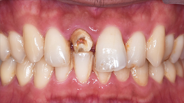
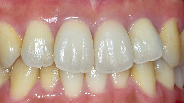
| 主訴 | 前歯の被せ物が取れた |
| 治療回数 | 3回 |
| 治療期間 | 約1ヶ月 |
| 費用 | 仮歯 5,500円 ジルコニアクラウン 176,000円 |
*キャンセルポリシーをご一読のうえご予約ください
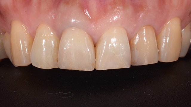
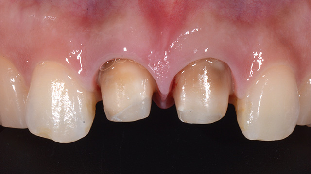
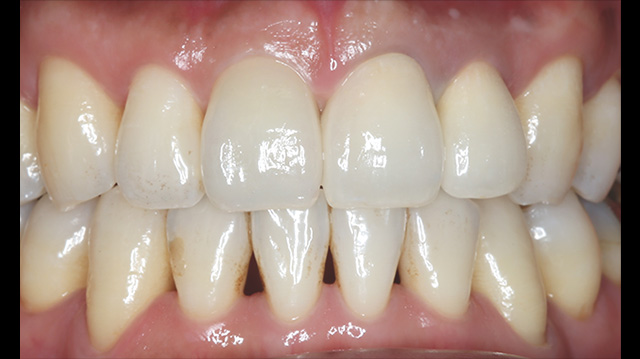
| 年代・性別 | 50代 男性 |
|---|---|
| 主訴 | 前歯を綺麗にしたい |
| 治療回数 | 3回 |
| 治療期間 | 約1ヶ月 |
| 費用 | 仮歯 5,500円 ジルコニアクラウン 176,000円 |
*キャンセルポリシーをご一読のうえご予約ください
| 年代・性別 | 40代 女性 |
|---|---|
| 主訴 | 右上の犬歯の色が気になる |
| 治療回数 | 3回 |
| 治療期間 | 約1ヶ月 |
| 費用 | 仮歯 5,500円 ジルコニアクラウン 176,000円 |
*キャンセルポリシーをご一読のうえご予約ください
| 年代・性別 | 20代 男性 |
|---|---|
| 主訴 | 前歯の色が気になる。海外に行く前に治したい。 |
| 治療回数 | 3回 |
| 治療期間 | 約1ヶ月 |
| 費用 | 仮歯 5,500円 × 2 ジルコニアクラウン 176,000円 × 2 |
*キャンセルポリシーをご一読のうえご予約ください
| 年代・性別 | 30代 女性 |
|---|---|
| 主訴 | 結婚式前に前歯を綺麗にしたい |
| 治療回数 | 3回 |
| 治療期間 | 約1ヶ月 |
| 費用 | 仮歯 5,500円 × 3 ジルコニアクラウン 176,000円 × 3 |
*キャンセルポリシーをご一読のうえご予約ください
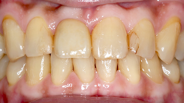
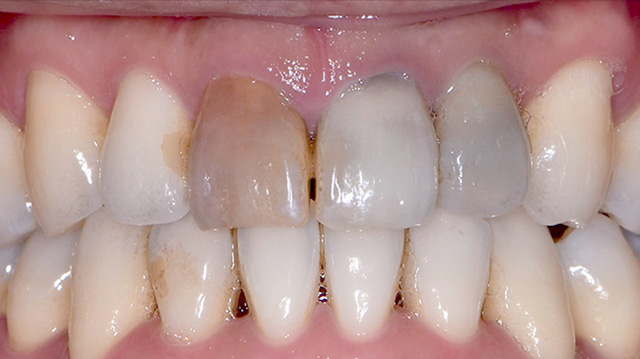
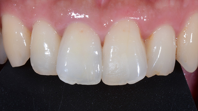
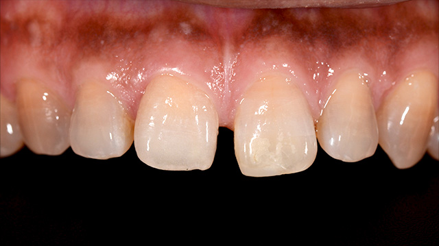
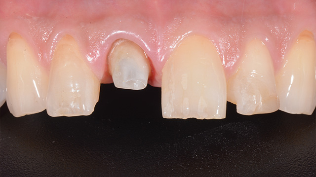
| 年代・性別 | 30代 男性 |
|---|---|
| 主訴 | 前歯の色が気になる |
| 治療期間 | 約1年 |
| 費用 |
仮歯 5,500円 × 2 ジルコニアクラウン 176,000円 × 3 インプラント 300,000円 インプラント仮歯 22,000円 サージカルガイド 70,000円 |
*キャンセルポリシーをご一読のうえご予約ください
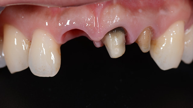
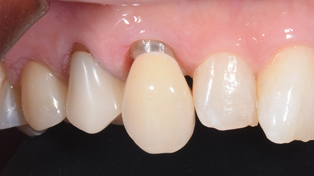
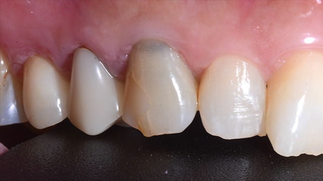
| 年代・性別 | 50代 男性 |
|---|---|
| 主訴 | インプラントをしたいが他の歯医者では難しいからと断られた |
| 治療期間 | 約1年 |
| 費用 |
仮歯 5,500円 ジルコニアクラウン 176,000円 インプラント 300,000円 インプラント仮歯 22,000円 サージカルガイド 70,000円 |
*キャンセルポリシーをご一読のうえご予約ください
| 年代・性別 | 40代 女性 |
|---|---|
| 主訴 | 前歯の見た目をどうにかしたい |
| 治療回数 | 3回 |
| 治療期間 | 約1ヶ月 |
| 費用 | 歯茎の移植 70,000円 / 1本 |
*キャンセルポリシーをご一読のうえご予約ください
© MIYAZAKIDAI DENTAL CLINIC