
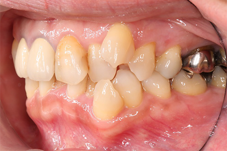
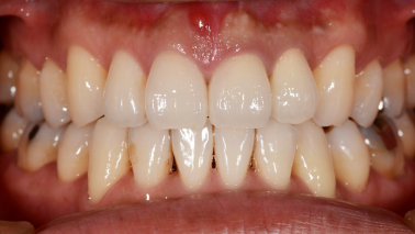
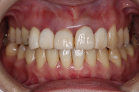
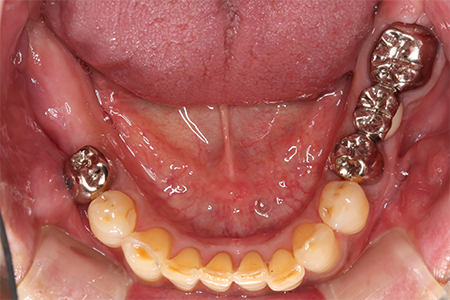
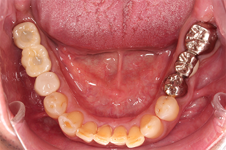
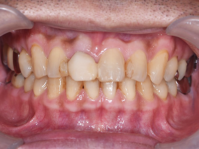
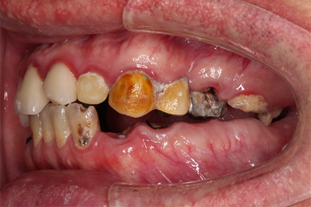
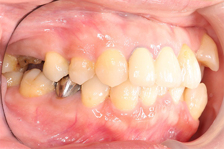
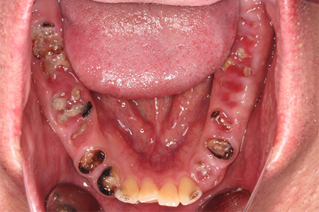
この患者様は長い事歯科医院には通っておらず、下の歯は前歯以外は全て崩壊していることが分かります。
前から見ても歯が欠けてしまい、歯茎も赤く腫れてしまっているのが分かります。
一般的には入れ歯が妥当かと思われますが、患者様は33歳、まだまだ人生は長いです。
奥歯がないと前歯でしか噛めなくなってしまい、残っている前歯もいずれダメになってしまいます。
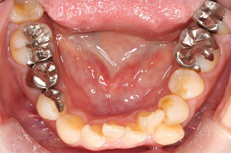
また、奥歯がなくなってからの期間が長かったため、入れ歯が入るスペースが奥にないのが分かります。
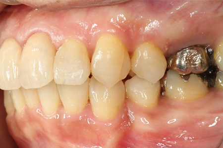
様々なことを鑑み、患者様とも何度も話し合いを行い、下の奥歯には必要最低限のインプラントを、他の歯も外科処置を施しなるべく歯を抜かない方法を取りました。
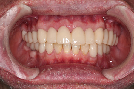
最終的に抜歯した本数は下の歯5本。上の歯に関しては全て残すことが出来ました。
奥歯があることで前歯の負担を減らし、前歯を失うリスクを下げることが出来ます。
| 治療期間 | 2年 |
|---|---|
| 費用 | 歯周外科治療 3万円×17本 GBR 15万円×2部位 インプラント 37万円×4本 補綴 ジルコニアクラウン 15万円×24本 |
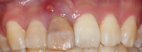
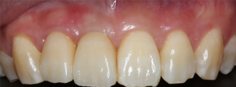
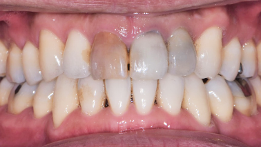
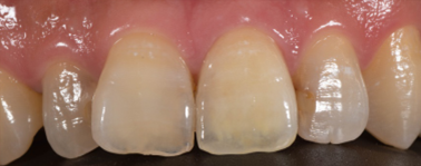
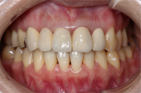
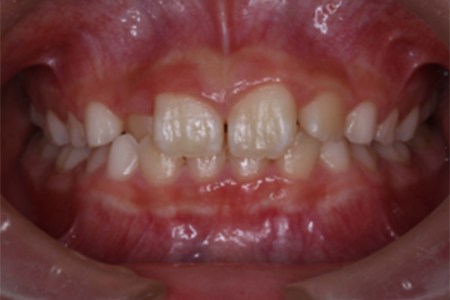
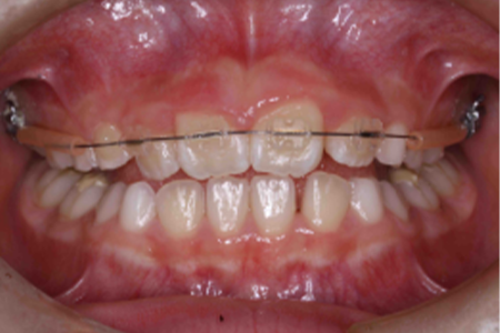
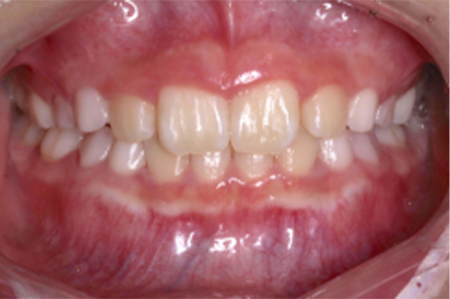
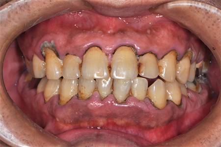
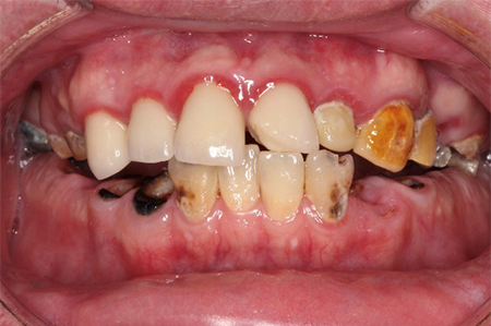
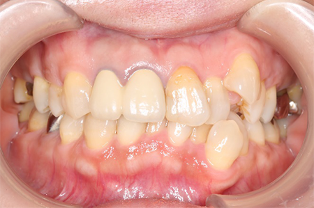
矯正治療と言っても、成人で虫歯の治療などが多数歯に渡って既に施されている場合、被せ物を変えていく必要があるのか、虫歯はないか、抜歯をする必要があるか、考えないといけないことがたくさんあります。
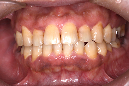
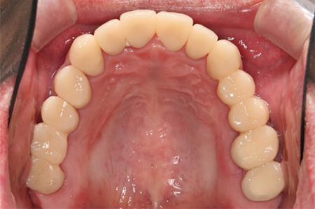
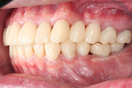
下の口腔内写真は初診時と矯正治療+補綴治療後のものになります。
一般的な矯正歯科ではできない審美治療など、矯正後のその先まで考えて治療計画を立案し治療を行っていくことが出来ます。


虫歯が大きかった右上の奥歯も残すことが出来ました。
連結してあった前歯の被せ物(歯茎まで黒くなっている)も矯正後にきれいに治療することが出来ています。
歯並びが悪いと見た目が悪いだけではなく歯磨きがしづらく、噛み合わせが悪いことで力のかかり方が不均一になってしまい歯に亀裂が入り虫歯になりやすくもなります。
当院ではトータルで口腔内を診ることに重きをおいて診療しています。
1本1本の歯にはそれぞれ役割があり、矯正治療を行うことでそれぞれの歯に適正な咬合力がいき渡るようにすることが出来、虫歯や歯周病になりづらい口腔内に、さらに審美的にもなります。
| 治療期間 | 2年 |
|---|---|
| 費用 | 矯正治療 88万円 調整料 5千円/毎回 補綴 ジルコニアクラウン 15万円×4本 |
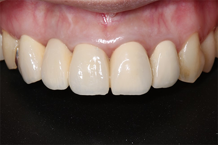
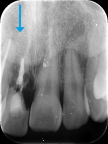
前歯が腫れてしまったと来院された患者様です。
レントゲンを見てみると歯根(歯の根の部分)が黒く溶けていることが分かり、抜歯と診断しました。
前歯のインプラントはとても難しく技術がないと歯茎が下がってしまったりと不具合が出てしまいます。



X-ray
処置後、非常に審美的な補綴物が入ったことが分かるかと思います。
| 治療期間 | 1年6か月 |
|---|---|
| 費用 | インプラント 37万円 骨造成 15万円 補綴 ジルコニアクラウン 15万円 |
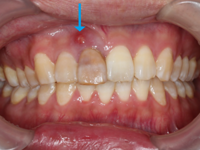
前歯が割れてしまってインプラントをご希望で来院された患者様です。
前歯に亀裂が入ってしまっており、抜歯後、インプラント治療を行いました。




X-ray
非常に審美的な治療が出来ました。
当院では難しい前歯のインプラントも違和感なくきれいに処置することが出来ます。
| 治療期間 | 1年6か月 |
|---|---|
| 費用 | インプラント 37万円 骨造成 15万円 補綴 ジルコニアクラウン 15万円 |
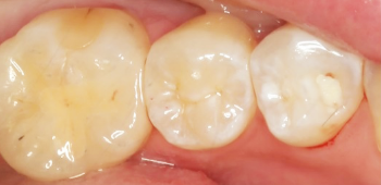
虫歯の治療も現在はセラミックの治療が最も良いとされています。
銀の詰め物と比較して『精度』が良く、再度虫歯になるリスクが低いです。
保険治療で使用されるセメントは熱によって膨張と収縮を繰り返し、長期間の使用により劣化してくることが示唆されています。
その結果内部に隙間ができ0.3㎛の大きさの細菌の侵入を許し虫歯になってしまいます。
当院のセラミック治療は適合も良く、セメントも歯と化学的に接着するものなので細菌の侵入を防ぐことが出来、さらに審美的です。






| 治療期間 | 2週間 |
|---|---|
| 費用 | セラミックインレー 6万6千円(顕微鏡治療の場合10万円) |
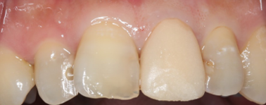
良くも悪くも人の印象を左右する前歯。
当院の歯科医師はその前歯の治療にとても神経を使います。
本来その人が持っていたであろう歯に近づくように細心の注意を払い治療しております。






| 治療期間 | 4週間 |
|---|---|
| 費用 | ジルコニアクラウン 15万4千円(顕微鏡治療の場合19万8千円) |




| 治療期間 | 6ヵ月 |
|---|---|
| 費用 | 歯肉移植 7万円 歯周外科 3万円×2本 補綴 メタルボンド12万円×5本 計73万円 |
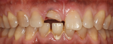
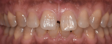
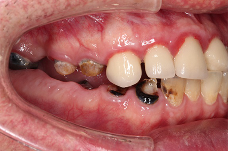
| 治療の経緯 | 被せ物が取れたとのことで来院されました。 検査の結果、右上の2番目の歯が破折しており、抜歯。 前歯ということもあり、見た目を気にされ、自然になるような処置を希望されました。 |
| 治療方法 | 歯の根元の歯茎のラインが乱れていたので、ラインを整える外科処置を行い、 抜歯した右上2番目の歯はボリュームを加えて、抜歯したことが分からないよう処置しています。 |




| 治療期間 | 12ヵ月 |
|---|---|
| 費用 | 再生療法 7万円 クリーニング 1万2千円/毎月×12ヵ月 |
| 治療の経緯 | 口臭と歯が揺れているとのことで来院された患者様です。 歯周ポケットが10mmあり、歯茎も腫れ、このままただのクリーニングだけだと数年後には確実に抜歯になることが予想されます。 |
| 治療方法 | 再生療法を行い、骨の再生を促しました。 レントゲンを見る限り、明らかな骨の再生が見受けられます。 |


| 治療期間 | 12ヵ月 |
|---|---|
| 費用 | 再生療法 7万円 クリーニング 1万2千円/毎月×12ヵ月 |
| 治療の経緯 | 10年以上振りの歯医者で口臭が気になると来院された患者様です。 歯周ポケットは全体的に深く、前歯は9mmありました。CTで見ると骨が溶けているのがよく分かります。 |
| 治療方法 | 再生療法を行い、骨の再生を促しました。 CTでの処置前と処置後の比較をすると骨が再生しているのが見受けられます。 |



| 治療期間 | 6ヵ月 |
|---|---|
| 費用 | 矯正治療 50,000円 調整料 1,500円/回 |
| 治療の経緯 | お母さまが子供の前歯の歯並びが気になるとのことで来院。 |
| 治療方法 | 右上2番が内側に入り込んでいる、部分的な反対咬合でしたので、 永久歯にだけ矯正装置をつけ、ワイヤーの力で、歯並びを改善しました。 |


| 治療期間 | 8ヵ月 |
|---|---|
| 費用 | インプラント 37万円×2本 骨造成 15万円 インプラント補綴 メタルボンド 15万円 |
| 治療の経緯 | インプラントを希望で来院。 |
| 治療方法 | 右下6番7番に骨造成をし、インプラントを埋入しています。 |


| 治療期間 | 3ヵ月 |
|---|---|
| 費用 | クリーニング 1万2千円 |
| 治療の経緯 | 検診とクリーニングが希望で来院。 |
| 治療方法 | 衛生士によるクリーニングで全体的に歯石を除去しています。 3ヵ月ごとの定期検診で歯周病や虫歯のリスクを低減させることができます。 |
© MIYAZAKIDAI DENTAL CLINIC