

ホームホワイトニングとは、自宅で行うホワイトニングです。
歯科医院で「マウストレー」を作成し、ご自宅でそのマウストレーに薬剤を入れて行います。少しずつ白くなっていくので白さを実感するのに2週間ほどかかりますが、オフィスホワイトニングより白さを持続できる時間を長く保つことができます。
オフィスホワイトニングとは、歯科医院で歯科医師や歯科衛生士が専門的に行う歯のホワイトニング施術です。高濃度の薬剤を歯の表面に塗布し、光を照射することで歯を白くします。ホームホワイトニングに比べて、短時間・短期間で効果が出ます。
普通のホワイトニングに比べて、「痛みが少ない」「白くなる」「歯を守る」「低価格」!
歯を傷つけることなくホワイトニングができるので、痛みが通常よりもかなり少なくなります。
また、普通のホワイトニングは、施術後に知覚過敏の症状が強く出ますが、ハイブリッドポリリンホワイトニングはしみにくい、しみる症状がある方でも施術可能なホワイトニングです。施術後も特に食事制限などがなく、いつも通りに食事を摂ることができます。
また、スーパーポリリン酸+C-APシステムの効果でキラキラ輝く自然な白さに変化していきます。新登場のC-AP(キャプ)システムにより、歯を傷つけにくくし、歯の表面も強石灰化され歯質が大幅に強化・保護され歯を守ることができます。 そのため気軽にホワイトニングを施術し、白さも手に入れて歯を守っていくことも並行してできるようになっています。
以下に該当する方はお受けいただくことができません。
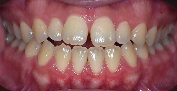
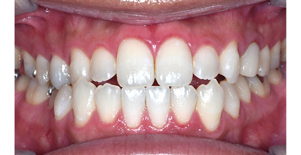
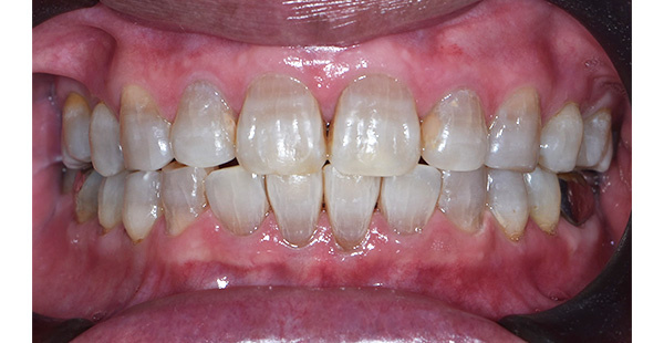
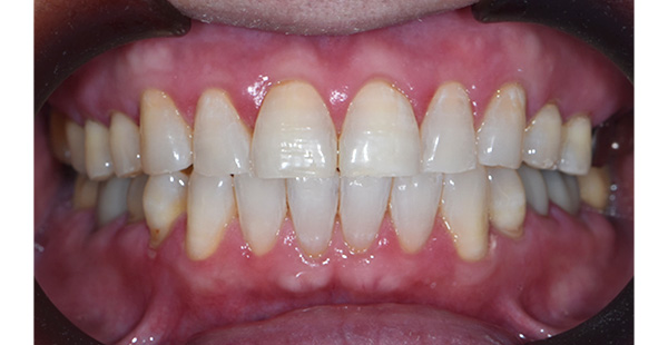
| 年齢・性別 | 20代・女性 |
|---|---|
| 備考 | ホワイトニング未経験、紅茶をよく飲む |
| 治療内容 | ハイブリッドポリリンホワイトニング |
| 照射回数 | 3回 |
| トーンの比較 | 13トーンアップ |
| 費用 | 【3回分】55,000円(税込) |
| リスク | 歯が数日しみることがある、個人差がある、後戻りする、詰め物や被せ物には出来ない |
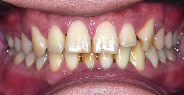
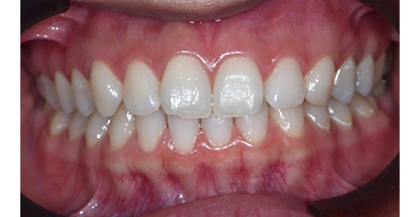
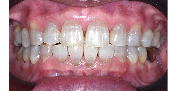
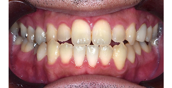
| 年齢・性別 | 30代・男性 |
|---|---|
| 備考 | ホワイトニング未経験、喫煙歴15年以上、歯医者20年以上ぶり |
| 治療内容 | ハイブリッドポリリンホワイトニング |
| 照射回数 | 3回 |
| トーンの比較 | 9トーンアップ |
| 費用 | 【3回分】55,000円(税込) |
| リスク | 歯が数日しみることがある、個人差がある、後戻りする、詰め物や被せ物には出来ない |
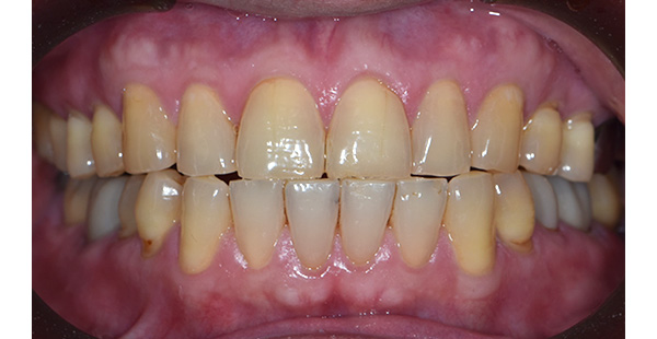
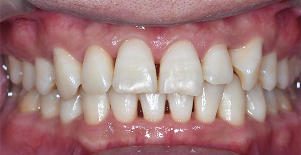
| 年齢・性別 | 50代・男性 |
|---|---|
| 備考 | ホワイトニング未経験 |
| 治療内容 | ハイブリッドポリリンホワイトニング |
| 照射回数 | 3回 |
| トーンの比較 | 13トーンアップ |
| 費用 | 【3回分】55,000円(税込) |
| リスク | 歯が数日しみることがある、個人差がある、後戻りする、詰め物や被せ物には出来ない |
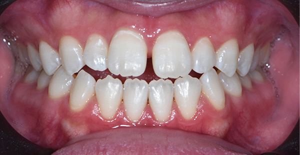
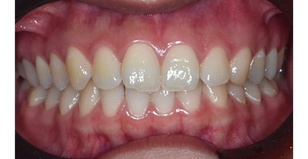
| 年齢・性別 | 20代・女性 |
|---|---|
| 備考 | ホワイトニング未経験 |
| 治療内容 | ハイブリッドポリリンホワイトニング |
| 照射回数 | 3回 |
| トーンの比較 | もともと白かったのですが4トーンアップ |
| 費用 | 【3回分】55,000円(税込) |
| リスク | 歯が数日しみることがある、個人差がある、後戻りする、詰め物や被せ物には出来ない |
| 年齢・性別 | 20代・男性 |
|---|---|
| 備考 | ホワイトニング未経験 |
| 治療内容 | ハイブリッドポリリンホワイトニング |
| 照射回数 | 3回 |
| トーンの比較 | 12トーンアップ |
| 費用 | 【3回分】55,000円(税込) |
| リスク | 歯が数日しみることがある、個人差がある、後戻りする、詰め物や被せ物には出来ない |
| 年齢・性別 | 50代・女性 |
|---|---|
| 備考 | ホワイトニング未経験、歯質の強化がしたい |
| 治療内容 | ハイブリッドポリリンホワイトニング |
| 照射回数 | 3回 |
| トーンの比較 | テトラサイクリン歯といってホワイトニングの効果が出づらい歯のタイプでしたが歯質強化もでき7トーンアップ |
| 費用 | 【3回分】55,000円(税込) |
| リスク | 歯が数日しみることがある、個人差がある、後戻りする、詰め物や被せ物には出来ない |
※表は横にスクロールできます
| 1回のみ (3回光を照射します) |
3回セット (3回来院していただきます) |
|
|---|---|---|
| ポリリン ホワイトニング |
22,000円 | 55,000円 |
| ホーム ホワイトニング (上下の形取り、ジェル4本込み) |
27,500円 *追加ジェル:1,500円/本 |
- |
| デュアル ホワイトニング (ポリリン ホワイトニング + ホーム ホワイトニング) |
44,000円 | 77,000円 |
© MIYAZAKIDAI DENTAL CLINIC