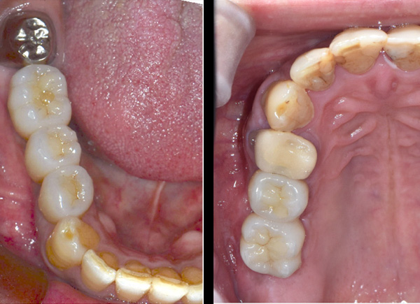
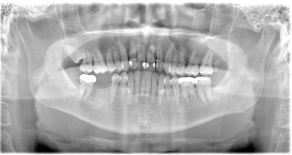
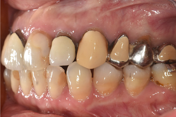
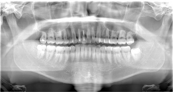
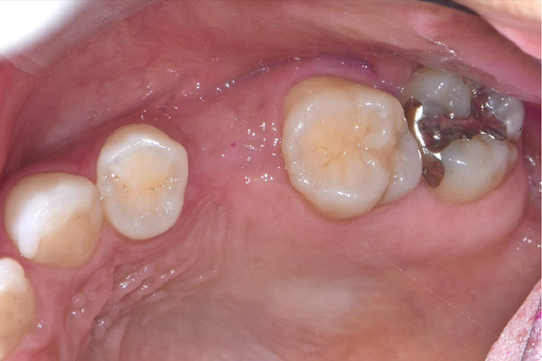
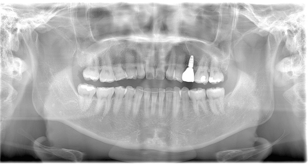
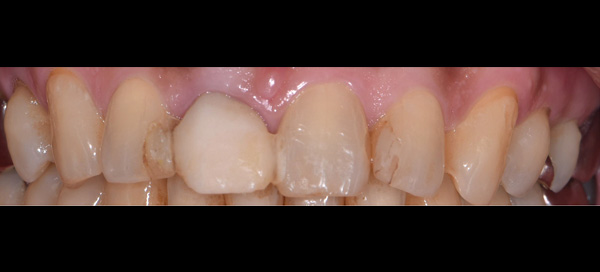
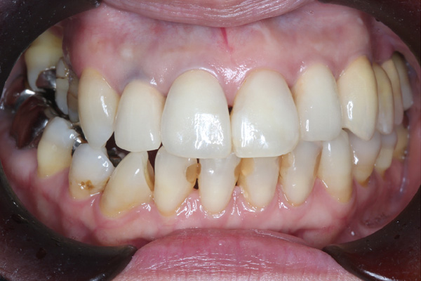
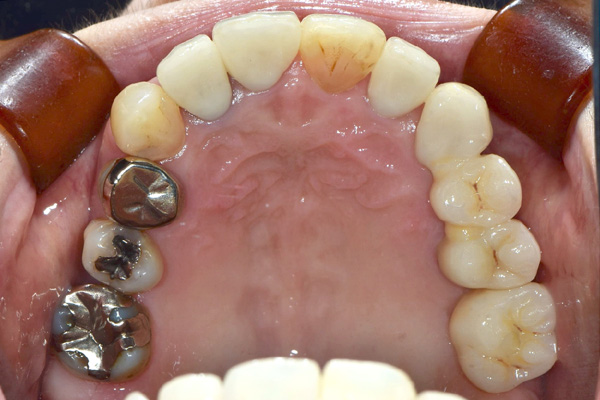
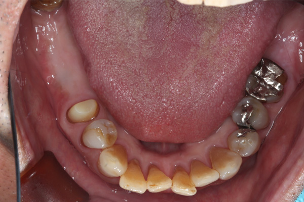
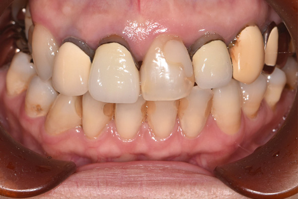
BEFORE
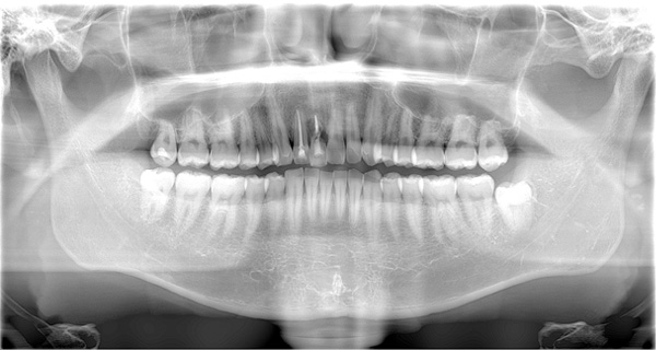
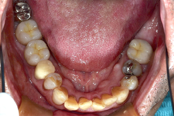
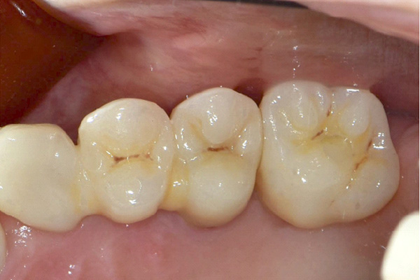
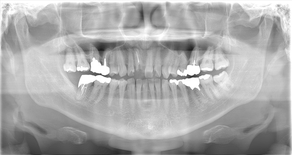
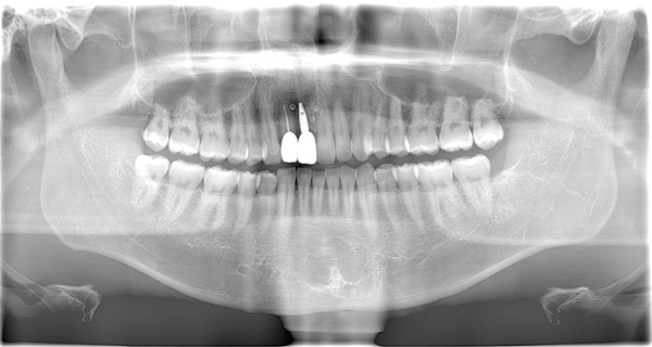
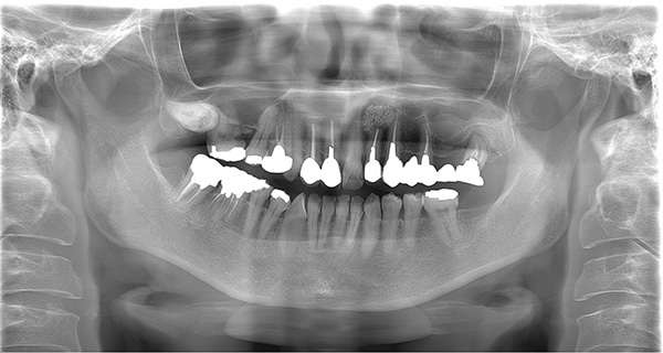
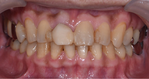
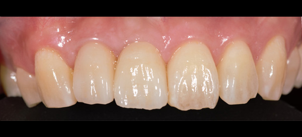
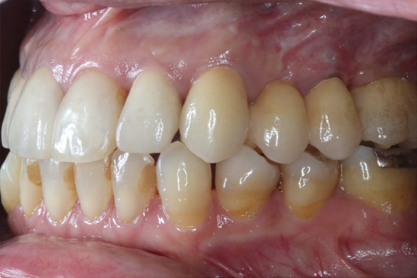
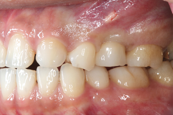
AFTER

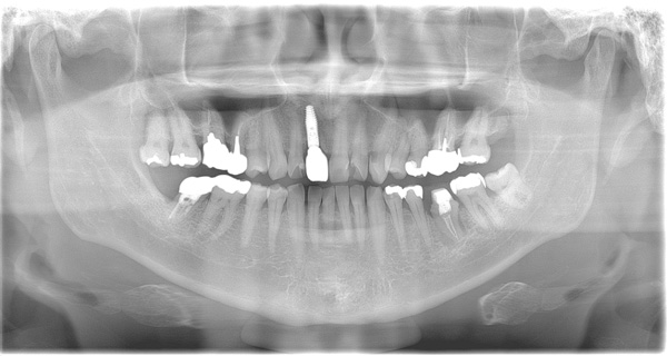
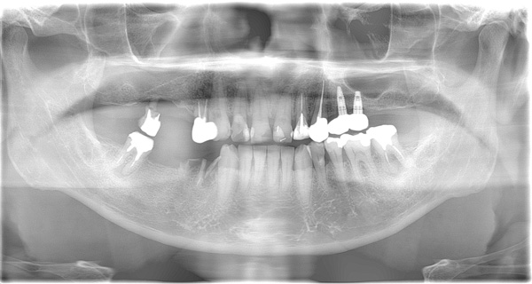
| 年代・性別 | 50代 女性 |
|---|---|
| 主訴 | 左上のブリッジがグラグラして外れそう |
| 治療期間 | 約18ヶ月 |
| 費用 | 1,600,000円 |
| 治療内容 | インプラント、骨造成、サイナスリフト、セラミック修復 |
| 治療に伴うリスク | インプラント周囲炎 セラミックの破折、脱離 |
*キャンセルポリシーをご一読のうえご予約ください
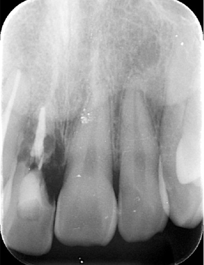
| 年代・性別 | 30代 女性 |
|---|---|
| 主訴 | 左上の乳歯がグラグラしてきた |
| 治療期間 | 約12ヶ月 |
| 費用 | 550,000円 |
| 治療内容 | インプラント、骨造成、セラミック修復 |
| 治療に伴うリスク | インプラント周囲炎 セラミックの破折、脱離 |
*キャンセルポリシーをご一読のうえご予約ください
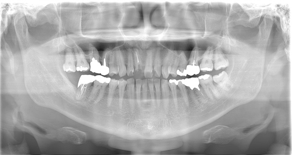
| 年代・性別 | 50代 男性 |
|---|---|
| 主訴 | 右上下の歯が痛い |
| 治療期間 | 約12ヶ月 |
| 費用 | 2,500,000円 |
| 治療内容 | インプラント、骨造成、結合組織移植、セラミック修復 |
| 治療に伴うリスク | インプラント周囲炎 セラミックの破折、脱離 |
*キャンセルポリシーをご一読のうえご予約ください
| 年代・性別 | 50代 男性 |
|---|---|
| 主訴 | 右下の歯がないのでインプラントをして欲しい |
| 治療期間 | 約6ヶ月 |
| 費用 | 600,000円 |
| 治療内容 | インプラント、骨造成、結合組織移植、セラミック修復 |
| 治療に伴うリスク | インプラント周囲炎 セラミックの破折、脱離 |
*キャンセルポリシーをご一読のうえご予約ください
| 年代・性別 | 50代 男性 |
|---|---|
| 主訴 | 右下の歯が割れてしまったのでインプラントをして欲しい |
| 治療期間 | 約6ヶ月 |
| 費用 | 1,100,000円 |
| 治療内容 | インプラント、骨造成、結合組織移植、セラミック修復 |
| 治療に伴うリスク | インプラント周囲炎 セラミックの破折、脱離 |
*キャンセルポリシーをご一読のうえご予約ください
| 年代・性別 | 30代 男性 |
|---|---|
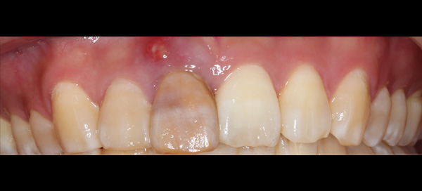
| 主訴 | 前歯が腫れた |
| 治療期間 | 約18ヶ月 |
| 費用 | 700,000円 |
| 治療内容 | インプラント、部分矯正、骨造成、結合組織移植、セラミック修復 |
| 治療に伴うリスク | インプラント周囲炎 セラミックの破折、脱離 |
*キャンセルポリシーをご一読のうえご予約ください
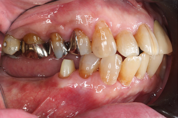
| 年代・性別 | 50代 男性 |
|---|---|
| 主訴 | 前医で前歯を抜かなければならないがインプラントはできないと言われた |
| 治療期間 | 約12ヶ月 |
| 費用 | 600,000円 |
| 治療内容 | インプラント、骨造成、結合組織移植、セラミック修復 |
| 治療に伴うリスク | インプラント周囲炎 セラミックの破折、脱離 |
*キャンセルポリシーをご一読のうえご予約ください
© MIYAZAKIDAI DENTAL CLINIC