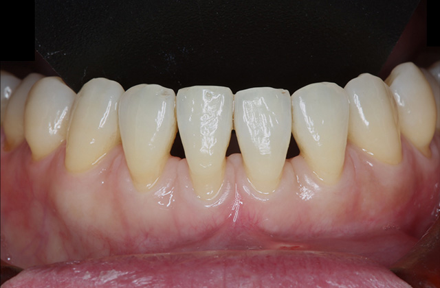
BEFORE
AFTER

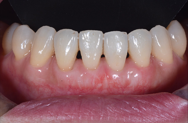
| 年代・性別 | 40代 女性 |
|---|---|
| 主訴 | 20代で矯正治療が終わり、その後歯茎が下がってきた。今後もっと下がることが怖い。 |
| 診断 | 下の前歯の歯茎が矯正治療によって退縮してしまっている。唇側の骨が薄いことと歯根が唇側に傾き過ぎたことが原因と考えられる。 この状態から自然に回復する可能性は皆無であり、CTG(歯茎の移植)による回復以外に選択肢はないことを説明し、患者の同意が得られた。 |
| 治療回数 | 1回 |
| 治癒期間 | 約2週間 |
| 費用 | 280,000円(6本)+税 |
| 治療内容 | CTG(結合組織移植術) |
| 術後の変化 | 歯根を歯肉がしっかり覆っており、また歯肉の厚みが増したことにより今後の歯肉退縮のリスクが軽減された。 |
| 治療に伴うリスク | 歯根の露出が一目見てわかるほど歯肉退縮が進行しており、下の前歯は術野が他の歯と比べ狭いので複数回の手術が必要になる事がある。口蓋から歯茎を移植してくるので術部が複数箇所ある。 |
*キャンセルポリシーをご一読のうえご予約ください
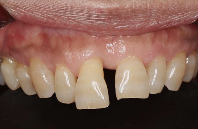
| 年代・性別 | 50代 女性 |
|---|---|
| 主訴 | 前歯の歯茎が下がっているのと虫歯が気になる |
| 診断 | 上の前歯の歯茎が退縮してしまっており、歯根が露出している。歯根を構成する象牙質はエナメル質とは異なり、酸に弱く虫歯の進行が早い特徴がある。歯肉退縮が進んだことにより、歯根のブラシでの清掃面積が増え、不十分な箇所が虫歯に罹患してしまったと考えられる。 この状態から自然に回復することは難しく、また、虫歯の治療も必要である。 虫歯の治療は本来の歯のあるべき所まで行い、それから露出している歯根を歯茎の移植(CTG)で自然な前歯にしていくことを提案し患者の同意が得られた。 |
| 治療回数 | 1回 |
| 治癒期間 | 約2週間 |
| 費用 | 280,000円(6本)+税 ※ダイレクトボンディング(虫歯治療)は別途 |
| 治療内容 | CTG(結合組織移植術)、ダイレクトボンディング(虫歯治療) |
| 術後の変化 | 歯根の露出がなくなり、以前は広い範囲を磨かなければならなかったがブラッシングもしやすくなった。歯肉の厚みも増えたことにより、今後の歯肉退縮のリスクも軽減された。 |
| 治療に伴うリスク | 上の前歯は審美ゾーンであり完全に天然の歯と近似するほどの回復は難しいケースもある。口蓋から歯茎を移植してくるので術部が複数箇所ある。 |
*キャンセルポリシーをご一読のうえご予約ください
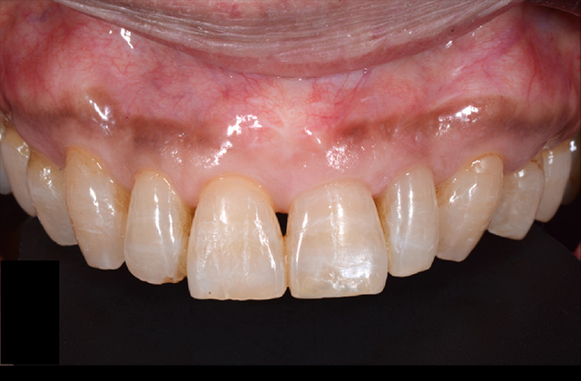
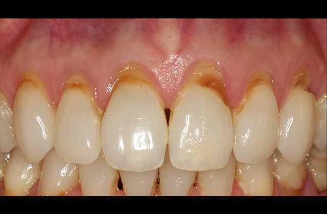
| 年代・性別 | 50代 女性 |
|---|---|
| 主訴 | 前歯の見た目が気になる |
| 診断 | 元々は歯周病が原因で右の前歯だけ下に出てきてしまい、さらに骨も喪失しその影響で歯肉退縮が起こっている。この状態から自然に回復することは難しく、まず部分矯正を行い、その後露出している歯根を歯茎の移植(CTG)で自然な前歯の状態にしていくことを提案し患者の同意が得られた。 |
| 治療回数 | 1回 |
| 治癒期間 | 約2週間 |
| 費用 | 100,000円(1本)+税 ※歯周病治療(再生療法)・部分矯正は別途 |
| 治療内容 | CTG(結合組織移植術)、部分矯正、歯周病治療(再生療法) |
| 術後の変化 | 歯根の露出がなくなり、歯肉の厚みも増えたことにより、今後の歯肉退縮のリスクも軽減された。 |
| 治療に伴うリスク | 上の前歯は審美ゾーンであり、完全に天然の歯と近似するほどの回復が難しいケースもある。口蓋から歯茎を移植するため術部が複数箇所となる。 |
*キャンセルポリシーをご一読のうえご予約ください
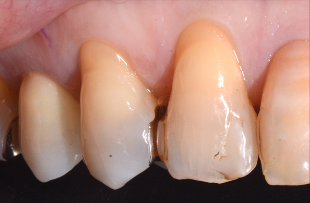
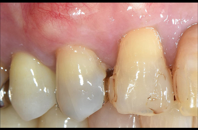
| 年代・性別 | 50代 女性 |
|---|---|
| 主訴 | 右の歯が歯磨きの時や冷たい飲み物を飲むとしみる |
| 診断 | 右上の3番目4番目の歯に歯肉退縮が起こっている。近年では歯磨き時のブラッシングの圧が強いことが原因で、長い時間をかけて徐々に歯が削れていき、また、歯肉が退縮していくことが示唆されている。この状態からの自然回復は難しく、歯根を歯茎の移植(CTG)で自然な前歯の状態にしていくことを提案し患者の同意が得られた。 |
| 治療回数 | 1回 |
| 治癒期間 | 約2週間 |
| 費用 | 130,000円(2本)+税 |
| 治療内容 | CTG(結合組織移植術) |
| 術後の変化 | 冷水痛や温水痛の軽減または消失。歯根の露出がなくなり、歯肉の厚みも増えたことにより、今後の歯肉退縮のリスクも軽減された。 |
| 治療に伴うリスク | 上の前歯は審美ゾーンであり完全に天然の歯と近似するほどの回復は難しいケースもある。口蓋から歯茎を移植してくるので術部が複数箇所ある。 |
*キャンセルポリシーをご一読のうえご予約ください
歯肉退縮を起こしている歯は、見た目が気になる・しみる・虫歯になったなど、症状や悩みは人それぞれですが、自然には治癒したり、元通りに治ることはありません。
歯肉を移植することで審美的な回復やしみるといった症状も改善し、虫歯になりやすい象牙質の露出もなくなるため、将来的な虫歯のリスクを軽減することができます。
当院ではマイクロスコープを使用し、100症例以上の経験を持つドクターが手術を行います。
まずはご相談にお越しください。
© MIYAZAKIDAI DENTAL CLINIC